Thời gian qua, bà P.T.Đ. (55 tuổi) trú huyện Anh Sơn, Nghệ An thấy mệt mỏi, đau đầu, đau vùng ngực và thắt lưng. Nghĩ mình bị cảm nên bà Đ. mua thuốc về uống nhưng tình hình vẫn không cải thiện.
Ngày 19-3, bà Đ. được người nhà đưa đến bệnh viện Hoàn Mỹ Quốc tế Vinh khám. Qua thăm khám, các kết quả cho thấy bà Đ. mắc bệnh sán lá gan sinh sống trong cơ thể đã nhiều năm nay.

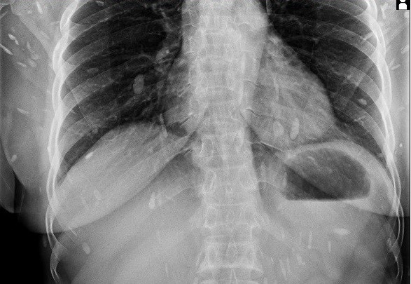
Hình ảnh về sán lá gan xâm nhập cơ thể của bà Đ. (ảnh bệnh viện cung cấp)
Bác sĩ CKI Trần Thị Bích Lan chia sẻ: “Những tác nhân gây bệnh sán lá gan lớn thường là từ động vật ăn cỏ, hoặc cũng có thể bị lây truyền qua trung gian là một số loài ốc nước ngọt (ốc họ Lymnaea). Người nhiễm bệnh do ăn sống các loại rau mọc dưới nước (rau ngổ, rau nhút, rau cần…) hoặc uống nước lã có nhiễm ấu trùng sán".
Qua trường hợp của bà Đ. bác sỹ khuyến cáo người dân không ăn cá và ốc chưa nấu chín dưới mọi hình thức (gỏi nấu canh, chiên rán…); không ăn rau sống mọc dưới nước; không uống nước lã; không dùng phân người nuôi cá; không phóng uế xuống các nguồn nước.
Ngoài ra, khi có các triệu chứng trên như người mệt mỏi, đau đầu, đau vùng ngực và thắt lưng người bệnh nên đi khám và điều trị kịp thời.