
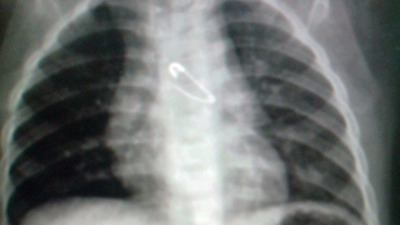
Hình ảnh X-quang ngực có kim băng
Bệnh nhân là Lê Anh Th., ở Xuân Lộc (Hà Tĩnh). Theo lời kể của người nhà bệnh nhân thì chiều 2-4 vừa qua, trong lúc ngồi chơi cùng bà và mẹ, cháu Th. nhặt được chiếc kim băng của bà làm rơi và cho vào miệng. Mẹ cháu hốt hoảng dùng tay móc miệng cháu để lấy kim băng ra. Cháu khóc thét và nuốt vật này vào sâu. Lập tức gia đình đưa cháu đến BV tỉnh Hà Tĩnh, kết quả chụp X-quang phát hiện kim băng đã nằm trong lồng ngực của trẻ.
Tại BV Nhi Trung ương, kết quả chụp X-quang ngực thẳng và nghiêng cũng cho thấy có hình ảnh kim băng nằm trong đường thở, tận phế quản góc trái. Đặc biệt, kim băng ở trạng thái mở, đầu nhọn quay lên trên và ngập sâu vào niêm mạc phế quản. Sau khi hội chẩn, các bác sĩ đã quyết định mổ nội soi phế quản để lấy dị vật. Ca phẫu thuật diễn ra trong 2 giờ đồng hồ, hiện bệnh nhi đã bình phục, sức khỏe tốt và được xuất viện.