Sàng lọc trước sinh để con chào đời khỏe mạnh

ANTD.VN - Theo ước tính, hiện nay có khoảng 4.000 loại dị tật bẩm sinh khác nhau do các yếu tố di truyền, môi trường và một số nguyên nhân chưa xác định gây nên. Dị tật bẩm sinh làm ảnh hưởng đến quá trình quá triển về thể chất, tinh thần và trí tuệ của trẻ, không những vậy nó còn trở thành gánh nặng cho gia đình và xã hội. Để con yêu của mình sinh ra khỏe mạnh, phát triển bình thường các bà mẹ nên tiến hành sàng lọc trước sinh để đảm bảo sức khỏe cho thai nhi, giúp phát hiện sớm các hiện tượng bất thường khi đang mang thai nhằm có những phương pháp chăm sóc và điều trị phù hợp. 

Sàng lọc trước sinh là các xét nghiệm dành cho phụ nữ mang thai để biết liệu thai nhi có thể mắc những dị tật liên quan đến bất thường nhiễm sắc thể như: Hội chứng Down, Edwards, Patau… Xét nghiệm sàng lọc trước sinh bao gồm 2 giai đoạn là sàng lọc và chẩn đoán.

Các mẹ nên biết các phương pháp sàng lọc được dùng để xác định những nguy cơ sinh con bị dị tật. Chỉ những mẹ có kết quả sàng lọc nguy cơ cao mới được yêu cầu thực hiện chẩn đoán bằng phương pháp xâm lấn như chọc ối, sinh thiết gai nhau. Độ chính xác từ phương pháp này rất cao có thể đến 99%, nhưng cũng tiềm ẩn nhiều rủi ro cho mẹ thậm chí phát sinh dị tật ở thai nhi: Gây sảy thai, rò rỉ dịch ối, chảy máu âm đạo, thai bị thiếu chi…

Vì sao nên sàng lọc trước sinh

Theo nghiên cứu của Tổ chức Y tế thế giới (WHO), tỷ lệ dị tật bẩm sinh ở trẻ sơ sinh là 1.73%. Như vậy, mỗi năm thế giới có khoảng 8 triệu trẻ chào đời với một dị tật bẩm sinh. Tại Việt Nam, mỗi năm có khoảng 1,5 triệu trẻ chào đời, trong đó có từ 2 đến 3% bị bệnh lý di truyền, dị tật bẩm sinh như: Mắc bệnh Down (chậm phát triển trí tuệ), hội chứng Ewards (dị tật do thừa nhiễm sắc thể), dị tật ống thần kinh, thiếu men G6PD (trẻ không đủ men này các tế bào hồng cầu khó hoạt động bình thường), tăng sản tuyến thượng thận bẩm sinh; bị Thalassemia (tan máu bẩm sinh)...

Cũng theo Trung tâm Kiểm soát & Phòng chống dịch bệnh Mỹ (CDC), các dị tật bẩm sinh ảnh hưởng đến 1 trong 33 trẻ sơ sinh, hay khoảng 3% trẻ sinh ra tại Mỹ mỗi năm. Dị tật bẩm sinh có thể xảy ra bất kỳ lúc nào trong thời kỳ mang thai, nhưng phần lớn là trong 3 tháng thứ nhất, khi các bộ phận cơ thể của bé đang hình thành.

Như Sức khỏe đời sống đưa tin, sàng lọc di truyền được thực hiện với tất cả phụ nữ mang thai và thường được đề cập ngay trong lần khám thai đầu tiên. Hầu hết phụ nữ được thử nghiệm di truyền trước sinh để biết sớm nguy cơ dị tật đối với đứa trẻ, giúp đưa ra quyết định cụ thể nên hay không nên giữ lại thai nhi.

Sàng lọc trước sinh giúp phụ nữ mang thai biết sớm nguy cơ dị tật

Trong một số trường hợp, sàng lọc di truyền có thể được thực hiện trước khi mang thai. Ví dụ, trong quá trình sàng lọc trước khi thụ thai, xét nghiệm này dùng để xem người mẹ hoặc cha có mang gen gây rối loạn di truyền hay không như như bệnh xơ nang và thiếu máu hồng cầu lưỡi liềm...

Một quan niệm sai lầm phổ biến ở nhiều phụ nữ mang thai cho rằng lý do duy nhất để làm xét nghiệm di truyền là giúp họ phá thai nếu kết quả dương tính, mà sàng lọc di truyền có ý nghĩa rộng hơn, bao trùm hơn.

Cho dù đã quyết định sàng lọc di truyền, kết quả không thể theo ý định chủ quan được. Đôi khi sàng lọc di truyền có thể cho kết quả dương tính giả, có nghĩa, kết quả không chính xác làm cho phụ huynh tin rằng đứa trẻ tương lai sẽ mắc dị tật bất thường. Đôi khi sàng lọc di truyền không thể nhận biết được những bất thường về nhiễm sắc thể hoặc dị tật bẩm sinh nếu chỉ qua 1 xét nghiệm. Đây chính là lý do tại sao mẹ bầu không nên vội vàng đưa ra quyết định chấm dứt thai kỳ ngay cả khi có kết quả dương tính mà cần phải làm thêm xét xét nghiệm chẩn đoán để có kết quả chính xác hơn.

Các bệnh lý trước sinh mẹ dễ mắc phải

Một số bệnh lý cần được lưu ý phát hiện, chẩn đoán đối với thai nhi trước khi sinh là hội chứng Down, khuyết tật ống thần kinh, loạn dưỡng cơ Duchenne, di truyền thiếu máu nặng Thalassemia. Việc chẩn đoán này là cơ sở để bác sĩ chủ động có lời khuyên đối với cha mẹ và gia đình xem xét thực hiện biện pháp xử trí phù hợp đối với thai nhi nhằm phòng tránh những di chứng hậu quả đáng tiếc về sau của bệnh lý gây nên.

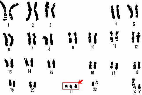
Hội chứng Down là bệnh thừa nhiễm sắc thể số 21

Hội chứng Down: còn gọi là bệnh thừa nhiễm sắc thể 21, có nơi gọi là hội chứng Mongoloides hay bệnh Mông Cổ vì người bệnh có khuôn mặt giống người Mông Cổ. Đây là một trong những bệnh bẩm sinh thường hay gặp nhất và không chữa khỏi bệnh được. Tỉ lệ mắc bệnh cũng khá cao, theo thống kê ghi nhận có khoảng 1/700 trường hợp trẻ sinh ra bị mắc hội chứng này.

Các nhà khoa học cho rằng, càng có thai muộn thì tỉ lệ sinh ra con bị mắc hội chứng Down càng cao. Phụ nữ ở tuổi 35, tỉ lệ sinh con bị hội chứng Down là 1/385. Ở 45 tuổi thì tỉ lệ này có thể chiếm tới 1/30. Do đó phụ nữ có tiền sử sinh con bị hội chứng Down hoặc có thai khi đã 35 tuổi trở lên cần phải xét nghiệm máu tìm 3 yếu tố có liên quan là AFP (alpha fetoprotein), beta-hCG (human chorionic gonadotropin) và oestriol không liên hợp uE3 (unconjugated estriol) từ tuần có thai thứ 12 trở đi.

Trong thời gian này nếu thấy khả năng thai nhi có thể bị mắc hội chứng Down rất cao thì việc muốn hủy thai hay chấm dứt thai kỳ sẽ không gặp nguy hiểm. Vào cuối năm 1999, các nhà khoa học đã phát hiện sự tăng lên rõ rệt lượng ADN (axít deoxyribonucleic) phôi thai trong máu người mẹ có con bị hội chứng Down tương lai bằng kỹ thuật sinh học phân tử PCR (polymerase chain reaction) ngay từ tuần thai thứ 7; vì vậy kỹ thuật này phát hiện được rất sớm nguy cơ thai nhi bị mắc hội chứng Down để có biện pháp xử trí phù hợp.

Khuyết tật ống thần kinh: khuyết tật này làm cho thai nhi không có não, nứt đốt sống (spina lifida). Có thể xét nghiệm máu những người mẹ có nguy cơ đã từng có con bị bệnh để phát hiện sớm khuyết tật ống thần kinh của thai nhi với kết quả xác định khá cao từ 80 - 90% các trường hợp chỉ bằng kỹ thuật xét nghiệm định lượng AFP (alpha  fetoprotein).

Bệnh loạn dưỡng cơ Duchenne: đây là một bệnh di truyền có tần suất cao với tỉ lệ 1/3.300 trường hợp người mẹ mang thai làm cho con trai mắc bệnh từ người mẹ mang gen bệnh. Vì vậy cần xét nghiệm định lượng men (enzym) và CK (creatin kinase) trong máu người mẹ khi có thai để có lời khuyên về bệnh di truyền cần thiết vì hiện nay bệnh này chưa chữa trị được hoặc nếu điều trị thì gặp rất nhiều khó khăn và thường bị thất bại.

Bệnh di truyền thiếu máu nặng Thalassemia: bệnh này rất phổ biến ở các nước trong khu vực Đông Nam Á và một số quốc gia khác với 2 thể bệnh là Alpha Thalassemia và Beta Thalassemia, trong đó có Việt Nam. Các nhà khoa học ghi nhận tần suất mắc bệnh Beta Thalassemia ở người dân tộc Kinh tại nước ta chiếm tỉ lệ từ 1,5 - 1,7% các trường hợp; trong khi đó ở dân tộc Mường thì tỉ lệ này có thể chiếm đến 25%. Bệnh có thể phát hiện, chẩn đoán trước khi sinh bằng kỹ thuật xét nghiệm hóa sinh và sinh học phân tử.

Các phương pháp sàng lọc trước sinh phổ biến hiện nay

Theo Trung tâm chẩn đoán trước sinh - Bệnh viện Phụ sản trung ương cho biết, các phương pháp sàng lọc trước sinh phổ biến được các bệnh viện áp dụng hiện nay đó là:

Siêu âm độ mờ da gáy

Siêu âm là kỹ thuật dùng sóng siêu âm để chụp và nghiên cứu các cấu trúc khi đang hoạt động. Người siêu âm dùng một đầu dò có phát sóng siêu âm di chuyển trên da bệnh nhân, sóng siêu âm phát ra có thể truyền qua môi trường lỏng và chỉ bị cản lại bởi không khí, xương và các tổ chức mô của thai. Các tín hiệu âm phục hồi sẽ được đầu dò ghi lại và tạo nên hình ảnh động của thai trên màn hình. Phương pháp này cho phép chụp với hình ảnh chính xác. Hiện nay có nhiều loại máy siêu âm 2 chiều, 3 chiều và 4 chiều, nhưng chẩn đoán cơ bản trước sinh vẫn là siêu âm 2 chiều.

Siêu âm trong thời kỳ mang thai giúp mẹ phát hiện sớm các dị tật bẩm sinh

Siêu âm cho phép đạt được một số thông tin về thai mà không một thăm khám nào có thể cung cấp được như: Tuổi thai, số lượng thai, sự phát triển của thai, chất lượng của sự trao đổi giữa mẹ và con (dựa vào Doppler) và hình thái học của thai nhi. Mặc dù đã có khá nhiều cải thiện về kỹ thuật nhưng siêu âm vẫn chưa là phương pháp hoàn hảo nhất, nó chỉ có thể phát hiện được một số dị dạng thai khi mà thai nhi nằm ở một tư thế thuận lợi, trong môi trường có lượng nước ối vừa đủ.

Phương pháp siêu âm độ mờ da gáy thường được thực hiện ở tuần thai thứ 11-13 và sẽ cho kết quả chính xác nhất. Đa số trường hợp có độ mờ da gáy < 3 mm được xếp vào nhóm nguy cơ thấp (ít có nguy cơ bị hội chứng Down). Trường hợp độ mờ da gáy dày từ 3,5 – 4,4 mm có tỉ lệ bất thường nhiễm sắc thể là 21.1% và trong trường hợp ≥ 6,5 mm có tỉ lệ bất thường nhiễm sắc thể lên tới 64.5%.

Trong trường hợp độ mờ da gáy > 3 mm, thai phụ sẽ được chỉ định thực hiện thêm xét nghiệm Triple test vào tuần thai thứ 16-18.

Phương pháp định lượng các chất đánh dấu

Đây là phương pháp lấy máu tĩnh mạch thai phụ, xét nghiệm định lượng các chất đánh dấu trong huyết thanh nhằm phát hiện sớm nguy cơ dị dạng thai. Tuổi thai từ 11 đến 13 tuần 6 ngày: Định lượng PAPP-A và βhCG tự do. Tuổi thai 14 đến 19 tuần 6 ngày: Định lượng anpha foetoprotein (αFP), βhCG toàn phần và/hoặc Estriol. Sau các tuổi thai này, các phương pháp định lượng sẽ rất khó đánh giá.

Kết quả được coi là dương tính khi tính toán ngưỡng sàng lọc lớn hơn 1/250 (hội chứng Down). Khi kết quả dương tính có nghĩa là những đối tượng đó được xếp vào nhóm nguy cơ bị dị dạng chứ không phải thai nhi bị dị dạng nhiễm sẵc thể. Để chẩn đoán chính xác thai nhi có bị dị dạng nhiễm sắc thể hay không cần sử dụng các phương pháp lấy bệnh phẩm của thai để làm xét nghiệm nhiễm sắc thể đồ.

Nếu kết quả âm tính không đảm bảo khẳng định thai nhi sẽ bình thường mà chỉ cho biết xác suất thai nhi bị dị tật bẩm sinh là thấp. Vì vậy đây là những xét nghiệm tự nguyện, mang tính chất sàng lọc, nên không bắt buộc.

Cho đến nay tùy theo tuổi thai, trên thế giới sử dụng ba phương pháp chủ yếu lấy bệnh phẩm của thai. Tuy nhiên các phương pháp lấy bệnh phẩm của thai là những phương pháp can thiệp vào thai cho nên nó có tỉ lệ tai biến nhất định cho mẹ và cho thai.

Việc thực hiện các phương pháp lấy bệnh phẩm thai nhi cũng không bắt buộc, tuy nhiên đây là những biện pháp cần thiết để xác định chẩn đoán các dị dạng nhiễm sắc thể của thai nhi.

Phương pháp chọc ối    

Phương pháp chọc hút nước ối là phương pháp được sử dụng rộng rãi nhất hiện nay bởi tính chất đơn giản về kỹ thuật cũng như tỉ lệ tai biến thấp. Nó được coi là phương pháp chính để lấy bệnh phẩm thai nhi.

Chọc hút nước ối giúp phát hiện dị tật bẩm sinh

Chọc hút nước ối được làm vào 3 thời điểm: Chọc hút nước ối sớm (tuổi thai 13 đến 16 tuần), chọc hút nước ối kinh điển (tuổi thai từ 17 đến 20 tuần), chọc hút nước ối muộn (sau 20 tuần).

Tuổi thai tốt nhất để thực hiện thủ thuật này là 17 đến 18 tuần vì lúc này khả năng lấy nước ối thành công cao nhất, tỉ lệ biến chứng cho cả mẹ và thai thấp nhất. Thủ thuật được tiến hành dưới hướng dẫn của siêu âm.

Mỗi một lần chọc nước ối lấy khoảng 20 ml nước ối để làm xét nghiệm, hiện nay ở nước ta xét nghiệm nước ối chủ yếu là làm nhiễm sắc thể đồ thai nhi, trong tương lai có thể thực hiện thêm các xét nghiệm khác về sinh hoá vi khuẩn cũng như về vi sinh vật.

Thời gian chọc ối tiến hành trong 5 đến 10 phút. Sau đó cần nằm nghỉ tại chỗ 3 tiếng, không phải sử dụng kháng sinh. Nguy cơ biến chứng rỉ ối, sảy thai < 0,5%. Kết quả xét nghiệm sẽ có sau 2 đến 3 tuần.

Phương pháp sinh thiết gai rau

Phương pháp sinh thiết gai rau là phương pháp lấy bệnh phẩm thai nhi bằng cách lấy các tế bào của các gai rau. Phương pháp này có tỉ lệ sảy thai khá cao (khoảng 9%) cho nên chỉ định sử dụng rất hạn chế. Chỉ định chủ yếu cho các trường hợp thai nhi có những bất thường lớn phát hiện sớm trong các quý đầu của thai nghén. Phương pháp sinh thiết gai rau được làm dưới hướng dẫn của siêu âm. Kết quả sau 5 đến 7 ngày.

Sàng lọc trước sinh không xâm lấn NIPT

Đây được coi là phương pháp xét nghiệm hiệu quả và an toàn nhất hiện nay. Phương pháp được thực hiện sớm ngay từ tuần thai thứ 10 thông qua mẫu máu của mẹ (chỉ từ 7 – 10 ml). Các bất thường nhiễm sắc thể được sàng lọc bao gồm bất thường NST 6, 9, 13 (hội chứng Patau), NST 18 (Edwards), NST 21 (Down), NST giới tính X, Y và các đột biến vi mất đoạn. Ngoài ra, phương pháp này còn áp dụng được cho các trường hợp đơn thai, song thai, mang thai hộ và có độ chính xác cao lên đến 99,98 %, giảm tỉ lệ chọc ối oan.

Việc sàng lọc trước sinh không chỉ giúp phát hiện di tật bẩm sinh cho thai nhi mà nó còn giúp cải thiện và nâng cao chất lượng giống nòi. Vì vậy, việc sàng lọc, chuẩn đoán trước sinh là một việc làm cần thiết giúp các mẹ phát hiện được các bệnh lý, sinh con khỏe mạnh và phát triển bình thường.

Theo Tổng hợp

Tin cùng chuyên mục