Chạy đua với tử thần cứu bệnh nhân bị vỡ u gan, chảy máu ồ ạt trong ổ bụng

ANTD.VN - Ông Ngô Văn S., 59 tuổi (ở Hoàng Mai, Hà Nội) được đưa vào bệnh viện cấp cứu trong tình trạng vô cùng nguy kịch vì khối u gan hơn 6 cm bị vỡ, chảy máu và dịch ồ ạt, gây sốc mất máu nặng…

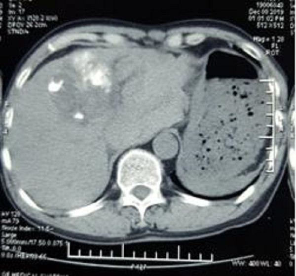
Hình ảnh chụp chiếu cho thấy bệnh nhân bị vỡ u gan

Sáng nay, 17-12, Bệnh viện Ung Bướu Hà Nội cho biết, các bác sĩ viện này vừa chạy đua với “tử thần” để giành giật tính mạng cho bệnh nhân Ngô Văn S.  bằng phương pháp nút tắc động mạch gan.

Bệnh nhân S. mắc ung thư gan, khối u có đường kính 6 cm, lồi khỏi mặt dưới gan trái, đã được nút mạch hóa chất cách đây 3 tháng, sức khỏe ổn định.

Sáng Chủ nhật (8-12) vừa qua, ông được người nhà đưa đến Bệnh viện Ung Bướu Hà Nội trong tình trạng đau bụng dữ dội vùng thượng vị, hoa mắt chóng mặt, da nhợt nhạt, mạch nhanh 140 lần/phút, huyết áp tụt còn 90/70 mmHg.

Qua siêu âm, các bác sĩ phát hiện có nhiều máu trong ổ bụng bệnh nhân. Kết quả chụp cắt lớp vi tính cho thấy, khối u gan kích thước hơn 6 cm thâm nhiễm nhu mô gan trái đã vỡ, còn đang có dấu hiệu chảy máu, tạo khối máu tụ lớn khoang hậu cung mạc nối, nhiều dịch máu quanh gan và tiểu khung, chỗ dày nhất 6 cm.

Bệnh nhân được chẩn đoán sốc mất máu do u gan vỡ, nguy cơ tử vong cao. Trước tình huống nguy kịch của bệnh nhân, kíp trực đã hội chẩn cấp cứu và quyết định thực hiện kỹ thuật nút tắc động mạch gan để cầm máu u gan vỡ trên hệ thống máy chụp mạch số hóa xóa nền (DSA).

Bác sỹ CKII Nguyễn Đình Hướng, Trưởng Khoa Chẩn đoán hình ảnh – Bệnh viện Ung bướu Hà Nội cho biết, nếu không được xử trí ngay lập tức, bệnh nhân S. sẽ bị mất máu ồ ạt trong ổ bụng dẫn đến tử vong chỉ trong thời gian ngắn. Nút mạch gan là chỉ định hàng đầu để xử trí trong trường hợp này nhằm cứu sống bệnh nhân.

Sau ca phẫu thuật nút tắc động mạch mạch gan, huyết động của bệnh nhân ổn định. Theo dõi sau 1 tuần, động mạch gan trái và phải của bệnh nhân đã tắc hoàn toàn, khối u không còn tăng sinh mạch, không còn dấu hiệu chảy máu ra ngoài khối u, lượng máu tụ trong ổ bụng đã giảm 50%.

Tin cùng chuyên mục