Hy hữu: Nam thanh niên mọc thừa… 17 cái răng

ANTĐ - Từ năm học lớp 10, cứ mỗi năm anh Văn Sơn (Quốc Oai, Hà Nội) lại mọc thêm một chiếc răng. Cách đây 10 ngày, thấy hàm răng đau nhức không chịu được, anh Sơn đến Bệnh viện Việt Nam - Cu Ba khám thì được bác sĩ cho biết hàm răng của anh bị mọc thừa đến 17 chiếc răng.

 

Từ năm học lớp 10, cứ mỗi năm anh Văn Sơn (Quốc Oai, Hà Nội) lại mọc thêm một chiếc răng. Cách đây 10 ngày, thấy hàm răng đau nhức không chịu được, anh Sơn đến Bệnh viện Việt Nam - Cu Ba khám thì được bác sĩ cho biết hàm răng của anh bị mọc thừa đến 17 chiếc răng.

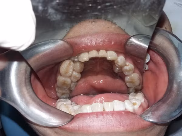
Ngày 20-6, bác sĩ Nguyễn Thị Thanh Châm, khoa Phẫu thuật Tạo hình Hàm mặt, Bệnh viện Việt Nam- Cu Ba cho biết, bệnh nhân Văn Sơn (28 tuổi) đến bệnh viện khám vì thấy đau nhức răng ở hàm trên bên trái. Tuy nhiên, qua thăm khám, các bác sĩ vô cùng bất ngờ khi phát hiện bệnh nhân mọc thừa 13 chiếc răng, cộng thêm 4 chiếc răng khác ở hàm dưới đang nhú.

Bệnh nhân mọc thừa tới 13 chiếc răng, cộng thêm 4 chiếc răng nữa đang nhú

Cụ thể, bệnh nhân mọc thừa đến 13 chiếc răng số 4 và 5 trên 2 hàm- răng hàm nhỏ. Các răng mọc lệch, chen chúc, khó vệ sinh, cặn thức ăn dính vào kẽ lâu ngày tạo thành các mảng bám, một răng bị sâu viêm tủy khiến bệnh nhân đau nhức khó chịu. Đây là trường hợp mọc thừa răng nhiều nhất bác sĩ từng gặp. 

Theo lời kể của bệnh nhân Sơn, từ năm học lớp 10, cứ mỗi năm anh lại thấy mọc thêm một chiếc răng, lúc hàm trên lúc hàm dưới. Nghĩ là răng mọc lẫy, cũng không thấy khó chịu hay vướng víu gì nên anh không hề đi khám răng. Lần khám gần đây nhất cũng đã lâu, anh cũng chỉ đi hàn răng bị sâu, bác sĩ không tư vấn gì. 

Bác sĩ Nguyễn Thị Thanh Châm cho biết, hiện bệnh nhân đã được tiến hành điều trị tủy dứt cơn đau răng và dự kiến trong tuần này sẽ được mổ bỏ các răng thừa. Với 4 chiếc răng mới nhú, chưa mọc sẽ được theo dõi và xử lý sau.

Bác sĩ Nguyễn Thanh Thái, Trưởng khoa Phẫu thuật Tạo hình Hàm mặt, Bệnh viện Việt Nam – Cu Ba cho biết thêm, hiện tượng mọc thừa răng không phải chuyện lạ, tuy nhiên bình thường mỗi người chỉ mọc thừa 1-3 chiếc, còn thừa nhiều như trường hợp bệnh nhân Sơn thì chưa từng gặp.

Bác sĩ Nguyễn Thanh Thái khuyến cáo, người dân nên có thói quen khám răng định kỳ 6 tháng một lần. Khi có hiện tượng răng mọc 2-3 cái một chỗ nên đi khám, bác sĩ sẽ tư vấn xem có cần thiết phải nhổ.

Tin cùng chuyên mục