Báo Điện tử An ninh Thủ đô An ninh Thủ đô
Ảnh Chính trị - Xã hội Thế giới Pháp luật Video Đô thị thông minh Văn hóa - Giải trí Thể thao Sống ở Hà Nội Kinh doanh
Danh mục
  • Chính trị - Xã hội
    • Đại hội Đảng
  • Thế giới
    • Quân sự
  • Pháp luật
  • Đô thị thông minh
  • Văn hóa - Giải trí
  • Thể thao
  • Sống ở Hà Nội
  • Kinh doanh
    • Con đường khởi nghiệp
  • Multimedia
    • Video
    • Podcast
    • Ảnh
    • Infographic
  • Rao vặt
MEDIA
  • Video
  • Podcast
  • Ảnh
  • Infographic
  • Longform
THÔNG TIN THÊM
  • Cộng tác với ANTĐ
  • Tra cứu xe
  • Hotline: 032 9907 579

Từ khóa: #bệnh nhân mọc thừa răng

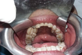
Hy hữu: Nam thanh niên mọc thừa… 17 cái răng

Hy hữu: Nam thanh niên mọc thừa… 17 cái răng

Đi chữa răng, cháu bé 3 tuổi thủng ruột vì “nuốt phải” dụng cụ y tế Đi khám răng, bị nhổ cả hàm

Đọc nhiều

Ra trận, phi công F-16 Ukraine buộc phải từ bỏ 'chiến thuật không hiệu quả' học ở trường

Mãn nhãn dàn xe đặc chủng "khủng" tham gia sơ duyệt lễ xuất quân bảo vệ Đại hội Đảng

Bộ trưởng Bộ Công an và Chủ tịch UBND TP Hà Nội chia vui cùng Công an Thủ đô trong ngày hội lớn

Vì sao các hệ thống phòng không S-300VM, Buk-M2E Venezuela hoàn toàn im tiếng khi bị Mỹ tấn công?

Động cơ PD-8 vượt qua bài kiểm tra 'sự cố gãy cánh quạt', sẵn sàng nâng cánh nhiều loại máy bay Nga

Báo Điện tử An ninh Thủ đô

Địa chỉ tòa soạn

82 Lý Thường Kiệt, phường Cửa Nam, TP Hà Nội

Điện thoại

+84-24 3942 6355

Đường dây nóng: 032 9907 579

Email

antdcahn@gmail.com

AN NINH THỦ ĐÔ - CƠ QUAN CỦA CÔNG AN THÀNH PHỐ HÀ NỘI - CHUYÊN TRANG CỦA BÁO CAND

Giấy phép hoạt động báo chí số 08/GP-BTTTT, ngày 5/1/2021 của Bộ Thông tin và Truyền thông.

Phó Trưởng ban Biên tập phụ trách: Chu Quốc Dũng

Phó Trưởng ban Biên tập: Vũ Mạnh Hùng, Lưu Hồng Quân

Bản quyền thuộc An ninh Thủ đô. Cấm sao chép dưới mọi hình thức nếu không có sự chấp thuận bằng văn bản.