Báo Điện tử An ninh Thủ đô
An ninh Thủ đô
Chính trị - Xã hội Thế giới Pháp luật Video Đô thị thông minh Văn hóa - Giải trí Thể thao Sống ở Hà Nội Kinh doanh Rao vặt
Danh mục
  • Chính trị - Xã hội
  • Thế giới
  • Pháp luật
  • Video
  • Đô thị thông minh
  • Văn hóa - Giải trí
  • Thể thao
  • Sống ở Hà Nội
  • Kinh doanh
  • Ảnh
MEDIA
  • Video
  • Podcast
  • Ảnh
  • Infographic
  • Longform
THÔNG TIN THÊM
  • Cộng tác với ANTĐ
  • Tra cứu xe
  • Hotline: 032 9907 579

Từ khóa: #vòng tránh thai

Hy hữu: Nữ bệnh nhân 69 tuổi bị thủng tử cung sau 30 năm đặt vòng tránh thai

Hy hữu: Nữ bệnh nhân 69 tuổi bị thủng tử cung sau 30 năm đặt vòng tránh thai

Mạo danh bác sĩ Bệnh viện Bạch Mai để kêu gọi ủng hộ nạn nhân vụ cháy ở Khương Hạ
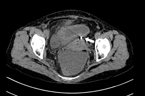
Hiếm gặp: Vòng tránh thai hình chữ T đi lạc vào trong bàng quang

Hiếm gặp: Vòng tránh thai hình chữ T đi lạc vào trong bàng quang

Người phụ nữ 38 tuổi nhập viện vì vòng tránh thai đâm xuyên thành tử cung

“Thăng hoa” tuổi 50 - những nguyên do đời thường

Bác sĩ và những ca phẫu thuật nhớ đời, cười ra nước mắt

Bác sĩ và những ca phẫu thuật nhớ đời, cười ra nước mắt

Hoại tử ruột vì vòng tránh thai

Các biện pháp tránh thai dành cho Eva

Các biện pháp tránh thai dành cho Eva

Thuốc viên tránh thai làm tăng nguy cơ ung thư tuyến tiền liệt?

Thuốc viên tránh thai làm tăng nguy cơ ung thư tuyến tiền liệt?

Khám chữa bệnh cho 1.200 hội viên phụ nữ

Đọc nhiều

Hệ thống phòng không Bắc cực Tor-M2DT bị phá hủy sau đòn tấn công của UAV

'Xe tăng bồ công anh' Nga chống chịu tới 40 đòn tấn công của UAV

An-22: 'Người khổng lồ cánh quạt' và chiến lược vận tải tầm xa của Liên Xô

Báo Mỹ: Tiêm kích Su-30SM2 mới nhất của Nga thống trị bầu trời Ukraine

Ukraine nghi bỏ lọt tên lửa siêu thanh Kinzhal nhắm vào căn cứ F-16

Báo Điện tử An ninh Thủ đô

Địa chỉ tòa soạn

82 Lý Thường Kiệt, phường Cửa Nam, TP Hà Nội

Điện thoại

+84-24 3942 6355

Đường dây nóng: 032 9907 579

Email

antdcahn@gmail.com

AN NINH THỦ ĐÔ - CƠ QUAN CỦA CÔNG AN THÀNH PHỐ HÀ NỘI - CHUYÊN TRANG CỦA BÁO CAND

Giấy phép hoạt động báo chí số 08/GP-BTTTT, ngày 5/1/2021 của Bộ Thông tin và Truyền thông.

Tổng Biên tập Báo CAND: Phạm Quang Khải

Trưởng BBT An ninh Thủ đô: Nguyễn Thanh Bình

Phó Trưởng BBT An ninh Thủ đô: Chu Quốc Dũng, Vũ Mạnh Hùng, Lưu Hồng Quân

Bản quyền thuộc An ninh Thủ đô. Cấm sao chép dưới mọi hình thức nếu không có sự chấp thuận bằng văn bản.