TP.HCM: Bệnh tay chân miệng đang tăng nhanh

TP.HCM: Bệnh tay chân miệng đang tăng nhanh

ANTĐ - Trung tâm Y tế dự phòng TP.HCM cho biết, từ đầu năm đến nay TP.HCM đã có 3.373 ca tay chân miệng (TCM) phải nhập viện, tăng gần 30% so với cùng kỳ năm 2013. Bác sĩ Nguyễn Trí Dũng, Giám đốc Trung tâm Y tế dự phòng TP.HCM, nhận định bệnh đang bước vào giai đoạn đỉnh dịch đầu tiên của năm 2014.
Thêm một em bé mắc “bệnh lạ” nguy hiểm

Thêm một em bé mắc “bệnh lạ” nguy hiểm

ANTĐ - Chiều 14-4, Trung tâm y tế huyện Ba Tơ, Quảng Ngãi, cho biết, Trung tâm y tế vừa chuyển bệnh nhân Phạm Thị Huy (SN 2000) ở Làng Dút 1, xã Ba Nam, huyện Ba Tơ, vào bệnh viện Nhi Đồng 2 TP.HCM điều trị.

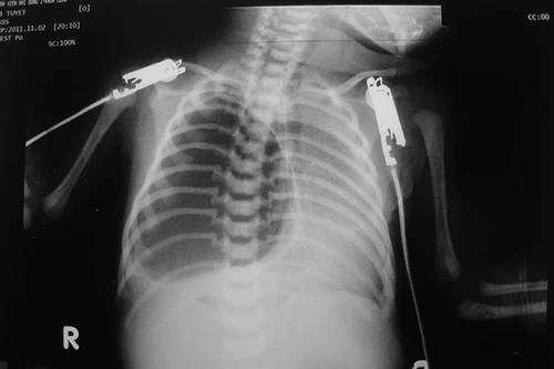
Báo động tình trạng hóc dị vật ở trẻ em

Báo động tình trạng hóc dị vật ở trẻ em

ANTĐ - Trong vòng nửa tháng trở lại đây, tại Hà Nội và TP.HCM đã tiếp nhận và cấp cứu nhiều trường hợp hóc dị vật ở trẻ nhỏ. Đáng báo động, những trường hợp này đều là các bé nhỏ, hóc phải những dị vật nguy hiểm, ảnh hưởng đến tính mạng.
Bác sĩ Trương Quang Định chia sẻ về bức ảnh khiến cộng đồng mạng rơi nước mắt

Bác sĩ Trương Quang Định chia sẻ về bức ảnh khiến cộng đồng mạng rơi nước mắt

ANTĐ - Trong những ngày qua, bức ảnh “nụ hôn vĩnh biệt” đã khiến cộng đồng mạng rơi nước mắt. Ít ai biết được đằng sau tấm ảnh đó là tâm tư của một con người đầy y đức, bác sĩ Trương Quang Định, hiện là Phó Giám đốc Bệnh viện Nhi Đồng 2, TP.HCM là trưởng ê-kíp thực hiện ca mổ tách liền cặp song sinh dính liền nhau và là người đã chứng kiến hình ảnh nhân văn, rồi sử dụng ĐTDĐ ghi lại khoảnh khắc làm bao trái tim xúc động.
Trẻ nhập viện tăng mạnh

Trẻ nhập viện tăng mạnh

ANTĐ - Ngày 6-2, bác sỹ Lê Hùng, khoa Nhi, Bệnh viện Nhân dân Gia Định cho biết: Số lượng trẻ nhập viện trong và sau Tết tại khoa Nhi của bệnh viện tăng, chủ yếu do nguyên nhân như thay đổi thời tiết bất thường, nhiều gia đình chủ quan, không điều trị kịp thời. Tai bệnh viện Nhi đồng I số lượng trẻ đến nhập viện điều trị về các bệnh thường gặp như sốt cao, ho, viêm phổi tăng từ 15-20% so với cùng kỳ năm 2013.
Lương y như từ mẫu

Lương y như từ mẫu

ANTĐ - Dân gian có câu: “Tiếng lành đồn xa, tiếng dữ đồn xa”. Song dường như tiếng dữ thường lan xa hơn, chấn động hơn.
Vẫn còn những “Từ mẫu”

Vẫn còn những “Từ mẫu”

ANTĐ - “Thật là cảm động. Cảm ơn các bác sĩ đã cứu sống cháu bé! Cảm ơn những lương y như thế”,  chị Phạm Thương Huyền (29 tuổi, trú tại phố Vũ Hữu, Thanh Xuân, Hà Nội) xúc động...

Bé gái la hét và chuyện bị “quên” ở trường

Bé gái la hét và chuyện bị “quên” ở trường

ANTĐ - Tuần qua, Bệnh viện Nhi đồng 2 TP.HCM tiếp nhận 1 bé gái học lớp 3 luôn la hét, nói lảm nhảm, hoảng loạn khi gặp người lạ… Sau nhiều ngày điều trị, em bé đã bình yên nhưng rất sợ khi phải nhắc đến trường lớp, đi học… “Bệnh thành tích của nhà trường, sự đòi hỏi con mình phải bằng bè bằng bạn của cha mẹ, phải chăng đã vô tình gây nên những sang chấn tâm lý cho trẻ?

Mẹ đoảng cho con uống nhầm hóa chất lau nhà

Mẹ đoảng cho con uống nhầm hóa chất lau nhà

ANTĐ - Theo tin từ bệnh viện Nhi Đồng 2, bệnh viện vừa tiếp nhận và kịp thời cứu sống trường hợp của bé gái L.T.T.T. (2 tháng tuổi) bị ngộ độc hóa chất khử khuẩn Chloramin B.
Chuyên gia Bỉ về Quảng Ngãi nghiên cứu bệnh viêm da lạ

Chuyên gia Bỉ về Quảng Ngãi nghiên cứu bệnh viêm da lạ

ANTĐ - Trung tâm y tế huyện Ba Tơ phối hợp với đoàn công tác của Bệnh viện Nhi đồng 2 cùng hai chuyên gia đến từ Vương quốc Bỉ về lĩnh vực dịch tễ học và bệnh lý gan mật đã đến khảo sát, lấy mẫu nghiên cứu bệnh viêm da lạ tại xã Ba Điền, huyện Ba Tơ.
Chấn thương sọ não vì tai nạn hi hữu

Chấn thương sọ não vì tai nạn hi hữu

ANTĐ - Tuần qua, các bác sĩ khoa ngoại thần kinh bệnh viện Nhi Đồng 2 vừa qua đã cấp cứu kịp thời cho 2 trường hợp trẻ bị chấn thương sọ não (CTSN) do tai nạn sinh hoạt rất hi hữu.