Báo Điện tử An ninh Thủ đô An ninh Thủ đô
Trật tự đô thị Ảnh Chính trị - Xã hội Thế giới Pháp luật Video Thành phố thông minh Văn hóa - Giải trí Thể thao Sống ở Hà Nội Kinh doanh
Danh mục
  • Trật tự đô thị
  • Chính trị - Xã hội
    • Đại hội Đảng
  • Thế giới
    • Quân sự
  • Pháp luật
  • Thành phố thông minh
  • Văn hóa - Giải trí
  • Thể thao
  • Sống ở Hà Nội
  • Kinh doanh
    • Con đường khởi nghiệp
  • Multimedia
    • Video
    • Podcast
    • Ảnh
    • Infographic
  • Rao vặt
MEDIA
  • Video
  • Podcast
  • Ảnh
  • Infographic
  • Longform
THÔNG TIN THÊM
  • Cộng tác với ANTĐ
  • Tra cứu xe
  • Hotline: 032 9907 579

Từ khóa: #điều trị Covid-19

Vi phạm về bán thuốc Movinavir trị Covid-19, một công ty bị xử phạt

Vi phạm về bán thuốc Movinavir trị Covid-19, một công ty bị xử phạt

Hà Nội vẫn dự trù 7.330 giường điều trị Covid-19, sẵn sàng khi có bệnh nhân
Hà Nội vẫn dự trù 7.330 giường điều trị Covid-19, sẵn sàng khi có bệnh nhân

Hà Nội vẫn dự trù 7.330 giường điều trị Covid-19, sẵn sàng khi có bệnh nhân

Điều trị Covid-19 tới đây sẽ thay đổi như thế nào, có được miễn phí hay không?
Một loại thuốc đông y được cấp phép điều trị giảm triệu chứng Covid-19

Một loại thuốc đông y được cấp phép điều trị giảm triệu chứng Covid-19

Vì sao Việt Nam vẫn sử dụng loại thuốc điều trị Covid-19 Mỹ đã tạm dừng cấp phép?
Số ca mắc Covid-19 tăng cao nhất từ đầu tháng 10, một người tử vong ở Hải Phòng

Số ca mắc Covid-19 tăng cao nhất từ đầu tháng 10, một người tử vong ở Hải Phòng

Quyền Bộ trưởng Y tế: Tâm lý lo ngại, sợ sai trong mua sắm trang thiết bị phòng Covid-19 là có thật
Hà Nội có một ca tử vong do Covid-19 sau hơn 10 ngày không ghi nhận

Hà Nội có một ca tử vong do Covid-19 sau hơn 10 ngày không ghi nhận

Hà Nội phát hiện thêm 56 ổ dịch sốt xuất huyết, trẻ mắc adenovirus vẫn tăng Bệnh do Adenovirus tăng mạnh tại Hà Nội, phụ huynh có nên lo lắng?
Số mắc Covid-19 có chiều hướng giảm dần, thêm một người tử vong

Số mắc Covid-19 có chiều hướng giảm dần, thêm một người tử vong

Số mắc mới và số ca Covid-19 nặng tiếp tục tăng, một người tử vong
Số mắc mới và số ca Covid-19 nặng tiếp tục tăng, một người tử vong

Số mắc mới và số ca Covid-19 nặng tiếp tục tăng, một người tử vong

Số mắc Covid-19 tăng nhẹ trong ngày đầu tuần, Bộ Y tế phát hành vũ điệu 2K+
Bốn bệnh nhân Covid-19 tử vong trong ngày 21-9

Bốn bệnh nhân Covid-19 tử vong trong ngày 21-9

Ngày 20-9, số mắc Covid-19 lại tăng vọt sau hơn 1 tuần giảm
Ngày 20-9, số mắc Covid-19 lại tăng vọt sau hơn 1 tuần giảm

Ngày 20-9, số mắc Covid-19 lại tăng vọt sau hơn 1 tuần giảm

Bộ Y tế phát động đổi avatar Zalo lan tỏa thông điệp chống dịch Covid-19 trong tình hình mới Thiếu vaccine Covid-19 Moderna để tiêm cho trẻ 6 đến dưới 12 tuổi
Năm bệnh nhân Covid-19 tử vong trong một ngày, cảnh báo số tử vong đang tăng nhanh

Năm bệnh nhân Covid-19 tử vong trong một ngày, cảnh báo số tử vong đang tăng nhanh

Thiếu vaccine sởi, nhà cung cấp có sẵn trong kho nhưng không cấp được vì... vướng thủ tục Vì sao Bộ Y tế thay đổi thông điệp phòng chống dịch Covid-19 từ "5K" xuống "2K+"?
Vì sao Bộ Y tế thay đổi thông điệp phòng chống dịch Covid-19 từ "5K" xuống "2K+"?

Vì sao Bộ Y tế thay đổi thông điệp phòng chống dịch Covid-19 từ "5K" xuống "2K+"?

Nhiều địa phương tiêm vaccine Covid-19 chưa đạt tiến độ, có tình trạng lơ là, chủ quan
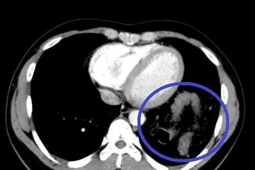
Tưởng hậu Covid-19, bệnh nhân đến viện khám mới biết bị vỡ cơ hoành

Tưởng hậu Covid-19, bệnh nhân đến viện khám mới biết bị vỡ cơ hoành

Ngày 11-9 ghi nhận tới 3 bệnh nhân Covid-19 tử vong
Ngày 11-9 ghi nhận tới 3 bệnh nhân Covid-19 tử vong

Ngày 11-9 ghi nhận tới 3 bệnh nhân Covid-19 tử vong

Chín bệnh nhân Covid-19 tử vong, ghi nhận trong 7 ngày liên tiếp
Chín bệnh nhân Covid-19 tử vong, ghi nhận trong 7 ngày liên tiếp

Chín bệnh nhân Covid-19 tử vong, ghi nhận trong 7 ngày liên tiếp

Bộ Y tế ra thông điệp mới về phòng Covid-19 khi dịch bệnh đang phức tạp trở lại
Ngày 6-9 tăng gần 3.700 ca Covid-19 mới và 1 tử vong, cao nhất 4 tháng qua

Ngày 6-9 tăng gần 3.700 ca Covid-19 mới và 1 tử vong, cao nhất 4 tháng qua

Thủ tướng: Trong tháng 9, phải ban hành các nghị định về tổ chức bộ máy của các Bộ Mỗi ngày nghỉ lễ ghi nhận trên 1.500 ca Covid-19 mới, 60% mang biến thể BA.5 dễ tái nhiễm
149 bệnh nhân Covid-19 nặng, Bộ Y tế yêu cầu không được lơ là trong dịp nghỉ lễ

149 bệnh nhân Covid-19 nặng, Bộ Y tế yêu cầu không được lơ là trong dịp nghỉ lễ

Ghi nhận 4 bệnh nhân tử vong do Covid-19 trong ngày 30-8, Hà Nội có một ca
Ghi nhận 4 bệnh nhân tử vong do Covid-19 trong ngày 30-8, Hà Nội có một ca

Ghi nhận 4 bệnh nhân tử vong do Covid-19 trong ngày 30-8, Hà Nội có một ca

Số ca tử vong do Covid-19 đang tăng trở lại, Bộ Y tế chấn chỉnh công tác điều trị Việt Nam là quốc gia có tỷ lệ bao phủ vaccine Covid-19 cao nhất thế giới
Ngày 25-8, thêm 2 bệnh nhân Covid-19 tử vong

Ngày 25-8, thêm 2 bệnh nhân Covid-19 tử vong

Hơn 43 triệu người dân đã được ký xác nhận Hộ chiếu vaccine Cả nước còn hơn 10 triệu liều vaccine Covid-19, cần bổ sung gấp hơn 8 triệu liều
Số trẻ em chưa tiêm vaccine mắc Covid-19 ở Hà Nội tăng vọt

Số trẻ em chưa tiêm vaccine mắc Covid-19 ở Hà Nội tăng vọt

Nhiều địa phương đang thiếu vaccine Moderna tiêm cho trẻ 6-11 tuổi Ngày 24-8, số mắc Covid-19 tăng cao nhất gần 4 tháng qua, 2 bệnh nhân tử vong
Ngày 24-8, số mắc Covid-19 tăng cao nhất gần 4 tháng qua, 2 bệnh nhân tử vong

Ngày 24-8, số mắc Covid-19 tăng cao nhất gần 4 tháng qua, 2 bệnh nhân tử vong

Ba triệu trẻ em Việt Nam có nhu cầu chăm sóc sức khỏe tâm thần Nhiều địa phương đang thiếu vaccine Moderna tiêm cho trẻ 6-11 tuổi

Đọc nhiều

An-225, máy bay lớn nhất thế giới của Liên Xô và biểu tượng vận tải siêu trường

Hoàn thành turbine GTD-110M cực mạnh cho nhà máy điện lớn nhất miền Nam nước Nga

Nga ký hợp đồng cực lớn để sản xuất tới 100 máy bay Tu-214

Iran cảnh báo bom xuyên phá GBU-57 của Mỹ chưa nổ, vẫn mắc kẹt trong các cơ sở hạt nhân

Anh hùng nước Nga Sergei Lipovoy: Su-57 không đơn thuần chỉ là máy bay chiến đấu thế hệ năm

Báo Điện tử An ninh Thủ đô

Địa chỉ tòa soạn

82 Lý Thường Kiệt, phường Cửa Nam, TP Hà Nội

Điện thoại

+84-24 3942 6355

Đường dây nóng: 032 9907 579

Email

antdcahn@gmail.com

AN NINH THỦ ĐÔ - CƠ QUAN CỦA CÔNG AN THÀNH PHỐ HÀ NỘI - CHUYÊN TRANG CỦA BÁO CAND

Giấy phép hoạt động báo chí số 08/GP-BTTTT, ngày 5/1/2021 của Bộ Thông tin và Truyền thông.

Tổng Biên tập Báo Công an Nhân dân: Nguyễn Thanh Bình

Trưởng ban Biên tập An ninh Thủ đô: Chu Quốc Dũng

Phó Trưởng ban Biên tập An ninh Thủ đô: Vũ Mạnh Hùng, Lưu Hồng Quân

Bản quyền thuộc An ninh Thủ đô. Cấm sao chép dưới mọi hình thức nếu không có sự chấp thuận bằng văn bản.