Kẹp sữa vào “chỗ kín”, qua mặt nhân viên siêu thị

Kẹp sữa vào “chỗ kín”, qua mặt nhân viên siêu thị

ANTĐ - Bộ đôi Nguyễn Thị Linh (SN 1993), trú tại quận Lê Chân, Hải Phòng và Phạm Thị Hồng Nhung (SN 1989), trú tại quận Hồng Bàng, Hải Phòng, đã nghĩ ra trò trộm cắp hết sức quái chiêu trong siêu thị: kẹp 2 hộp sữa loại  900 gam vào… háng, rồi khoác áo bà bầu, áo khoác rộng, hòng qua mặt nhân viên kiểm soát.

Dập tắt đám cháy tại vườn Quốc gia

Dập tắt đám cháy tại vườn Quốc gia

ANTĐ - Đến 6h30 sáng qua 7-3, đám cháy ở vườn Quốc gia Hoàng Liên thuộc khu vực Nà Háng, thôn Séo Mý Tỷ, xã Tả Van, huyện Sa Pa, tỉnh Lào Cai  đã được khống chế, dập tắt cùng sự nỗ lực chữa cháy không kể ngày đêm của gần 800 người. Hiện, Ban Chỉ huy phòng chống cháy rừng tỉnh Lào Cai vẫn bố trí 100 dân quân và 20 chiến sĩ ở lại, canh chừng và dập tắt nốt một số tàn than.
Đâm chết người ngay trong đám cưới

Đâm chết người ngay trong đám cưới

ANTĐ - Công an tỉnh Lạng Sơn đã bắt giữ Nông Văn Quán, SN 1993, trú tại thôn Nà Cạp, xã Hồng Phong, huyện Bình Gia (Lạng Sơn) về hành vi giết người.
Bắt quả tang vụ vận chuyển 5 bánh heroin và gần 1.000 viên ma túy

Bắt quả tang vụ vận chuyển 5 bánh heroin và gần 1.000 viên ma túy

ANTĐ - Khoảng hồi 2h ngày 2-6, phòng Cảnh sát điều tra tội phạm về ma túy phối hợp với phòng Cảnh sát bảo vệ và cơ động công an tỉnh Lai Châu đã bắt quả tang 3 đối tượng vận chuyển ma túy trên xe khách trên địa phận xã San Thàng, thị xã Lai Châu.
Hoang mang chuyện nữ sinh bị cướp...tóc giữa đường

Hoang mang chuyện nữ sinh bị cướp...tóc giữa đường

ANTĐ - Lợi dụng buổi trưa, đoạn đường vắng vẻ, hai phụ nữ bịt mặt, chặn nữ sinh đi qua, cầm kéo cắt lấy mái tóc rồi tẩu thoát. Sự việc đang gây xôn xao dư luận ở vùng biên giới Tân Mỹ (Văn Lãng, Lạng Sơn).
Nữ sinh mất tích bí ẩn và nghi án giết người phân xác trôi sông

Nữ sinh mất tích bí ẩn và nghi án giết người phân xác trôi sông

ANTĐ - Liên tiếp các phần thi thể phụ nữ được phát hiện trên sông trong những ngày qua đã khiến dư luận liên hệ sự việc này với vụ một nữ sinh mất tích cách đây 3 tuần. Trong lúc công tác giám định gene đang được thực hiện thì ngày càng xuất hiện nhiều hơn những đồn đoán ghê rợn về một vụ án mạng nghiêm trọng.
Chấp nhận ở tù… trừ nợ

Chấp nhận ở tù… trừ nợ

ANTĐ - Đang ngồi chơi trước cửa nhà, bà Bùi Thị Hạng (66 tuổi), trú tại tổ 16 phường Yên Sở, Hoàng Mai, Hà Nội bỗng dưng bị một chiếc “xe điên” lao lên vỉa hè đâm thẳng vào người. Cú đâm trực diện này khiến bà suýt chết và phải cắt bỏ một bên chân vì dập nát. Sau sự cố, phía gia đình người gây tai nạn chỉ đưa số tiền bồi thường là 50 triệu đồng rồi… mất hút.

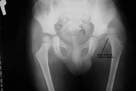
Chia sẻ kỹ thuật thay khớp háng

Chia sẻ kỹ thuật thay khớp háng

ANTĐ - Nhằm chia sẻ kinh nghiệm thay khớp háng cho các bác sĩ, ngày 3-1, tại Bệnh viện đa khoa tỉnh Khánh Hòa, GS.BS Hearin, đến từ Bệnh viện chuyên khoa Minden (CHLB Đức) đã phẫu thuật thay khớp háng cho hai bệnh nhân bị hoại tử chỏm xương đùi.

 

Nhiệt tình của một chuyên gia chỉnh hình Pháp với Việt Nam

Nhiệt tình của một chuyên gia chỉnh hình Pháp với Việt Nam

ANTĐ - Từ năm 1986, khoa Chấn thương chỉnh hình, bệnh viện Đa khoa Xanh Pôn Hà Nội đã hợp tác với tổ chức Cimade, trong đó có bác sĩ Phi Lippe Jacob thuộc bệnh viện Đa khoa Laenec Crell Cộng hòa Pháp. Hằng năm, bác sĩ P.L. Jacob vẫn sang làm việc và giúp các thầy thuốc của khoa Chấn thương chỉnh hình phát triển các kỹ thuật thay khớp háng gối, phẫu thuật cột sống và nội soi.