![]() |
| Người bệnh nhập viện với thanh đinh đâm thủng xương sọ |
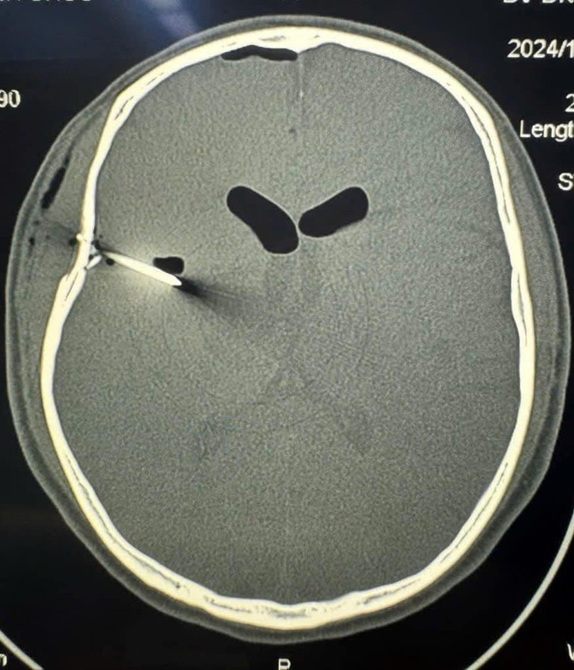
Thông tin từ Bệnh viện Trung ương 108 cho biết, cơ sở này vừa tiếp nhận một bệnh nhân nam 38 tuổi, vào cấp cứu với vết thương sọ não hở có đinh sắt đâm xuyên thủng xương sọ vào não.
Theo lời kể của gia đình, khoảng 9h sáng ngày 21-12, trong khi đang làm việc tại nhà, không may bệnh nhân bị súng bắn đinh gỗ bắn vào đầu. Gia đình vội đưa bệnh nhân đi cấp cứu tại Bệnh viện 108.
Bệnh nhân nhập viện trong tình trạng tỉnh, vết thương vùng đầu chảy nhiều máu, đau nhiều vùng đầu, chân tay không yếu liệt, chụp cắt lớp vi tính sọ não có hình ảnh dị vật kim khí.
Các bác sĩ đã khẩn trương tiến hành phẫu thuật mở sọ lấy thành công dị vật là một cây đinh dài khoảng 5cm ra khỏi đầu.
Sau phẫu thuật, bệnh nhân tiếp tục được hồi sức điều trị. Hiện tại tình trạng bệnh nhân đã ổn định, tuy nhiên vẫn cần điều trị tích cực phòng nguy cơ nhiễm khuẩn não, màng não, áp xe não do dị vật là một chiếc đinh nhọn và dài đã cắm sâu vào nhu mô não nên nguy cơ nhiễm trùng rất cao.
Bác sĩ Đỗ Khắc Hậu, Khoa Ngoại Thần kinh – Bệnh viện 108 khuyến cáo, người dân cần cẩn trọng đảm bảo môi trường làm việc an toàn trong khi lao động, sản xuất. Khi xảy ra tai nạn lao động cần khẩn trương sơ cứu và đưa người bệnh tới ngay cơ sở y tế có uy tín để xử trí kịp thời. Tuyệt đối không được tự ý rút dị vật ra khỏi vết thương vì có thể gây nguy hiểm tính mạng.
